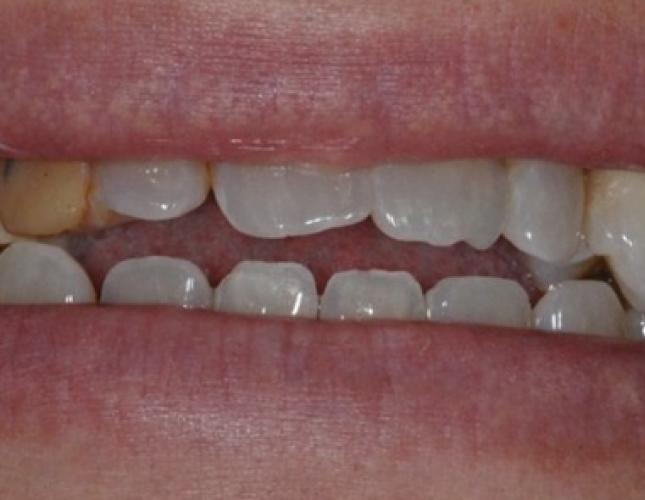
We were able to restore this patients smile after her anterior bride began to fail. After placing multiple implants, he was able to achieve amazing results not only for the patients appearance but to help enhance her overall oral health!
Holiday Hours: Closed December 24th and will reopen on December 29th.
Closed December 31st and will reopen on January 13th.
We were able to restore this patients smile after her anterior bride began to fail. After placing multiple implants, he was able to achieve amazing results not only for the patients appearance but to help enhance her overall oral health!