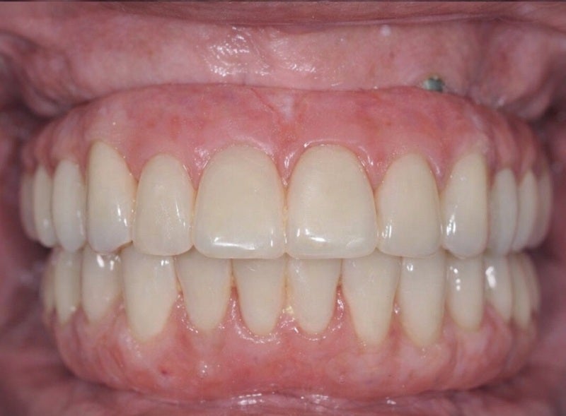
All-on-4 Dental Implants 1
Before
After
This patient had gone years battling periodontal disease. She dealt with loose teeth, missing teeth, and bad breath. Removing her infected teeth and replacing them with an all on 4 implant restoration gave her the confidence to get back into the work force.
Esthetic Gum Lift
Before
After
This patient completed orthodontics to straighten her teeth but was unhappy with the gum levels of her front two lateral incisors. We did an esthetic gum lift to harmonize the gum levels followed by two porcelain veneers to enhance her smile.
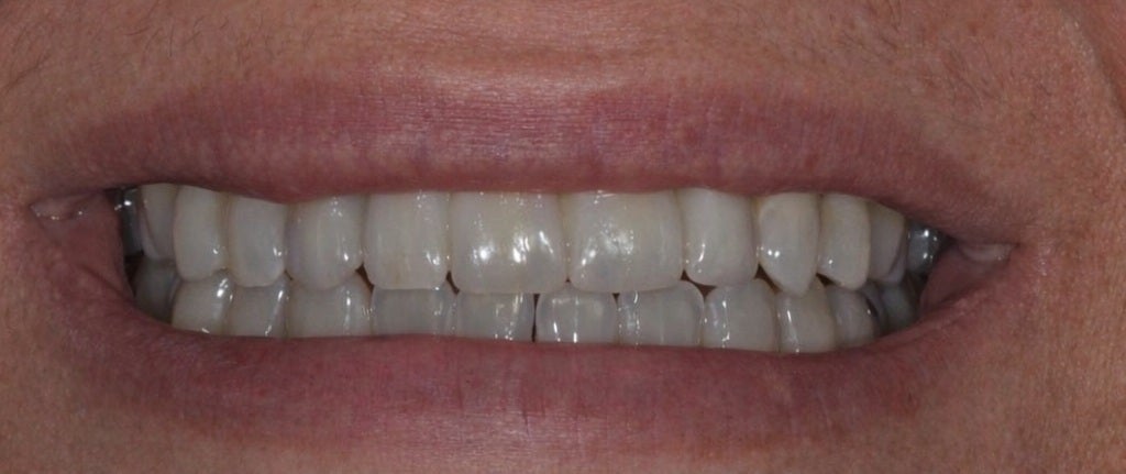
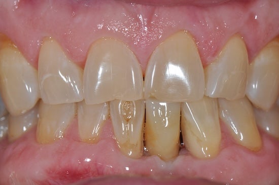
Porcelain Veneers
Before
After
This patient suffered from years of erosion and wear from acid attacks on her teeth. Porcelain veneers were placed on her upper 8 front teeth to give her back her original beautiful smile.
FMR Reconstruction
Before
After
This patient had a genetic disorder that affected the enamel on all her teeth. After esthetic gum procedures, we restored her full mouth of teeth with porcelain crowns to give her the smile she always wanted.
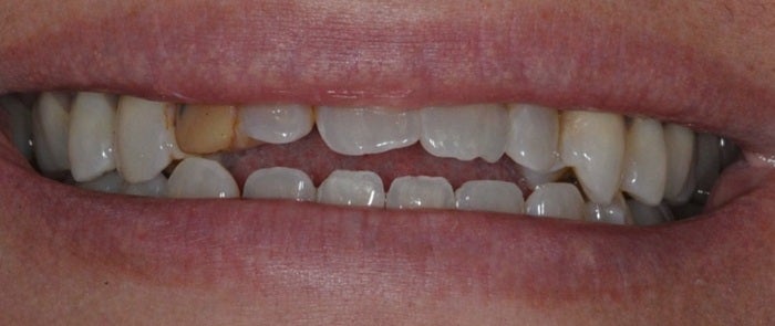
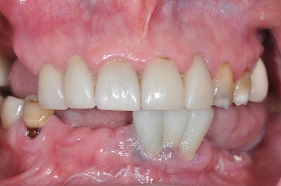
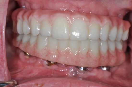
All-on-4 Dental Implants 2
Before
After
This patient suffered from missing teeth and large cavities in his teeth and infections in his jaw bones that caused quite a bit of pain. After removing the broken down teeth and infections, we replaced all his teeth with upper and lower all on 4 implant restorations. He can now chew without pain and loves his new smile.
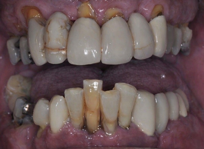
All-on-4 Dental Implants 3
Before
After
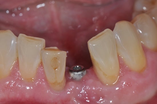
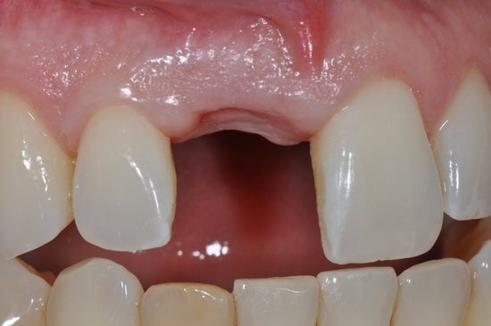
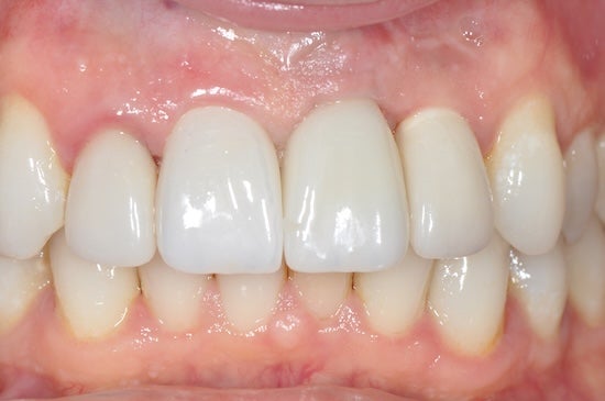
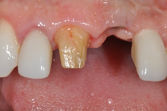
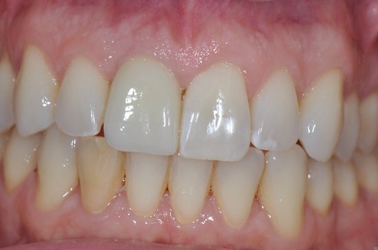
Single Tooth Implant 1
Before
After
Single Tooth Implant 2
Before
After
Single Tooth Implant 3
Before
After
Single Tooth Implant 4
Before
After
Pagination
Get a brighter smile today!
Contact us now to schedule your appointment and have the smile you've dreamed about!