Javascript must be enabled for the correct page display
Hours & Contact
Monday - Thursday:
7:00am - 4:00pm
Have a question? Give us a call!
(253) 600-2621
facebook
instagram
google
Main Menu
Menu
Smile Gallery
Services
All-on-4
All-On-4 Process
Dental Implants
Implant Process
Single Tooth Implant
Full Mouth Reconstruction
Sedation Dentistry
Tooth Extractions
Dental Bridge
Dental Veneers
Dentures
About Us
Meet the Team
Dentists
Support Staff
Testimonials
Office Tour
Community Involvement
FAQs
Blog
Patient Info
Insurance & Financing
Special Offers
Referring Doctors
New Patient Form
Request an Appointment
Search
Button Bar
Book Consultation
New Patient Form
Contact Us
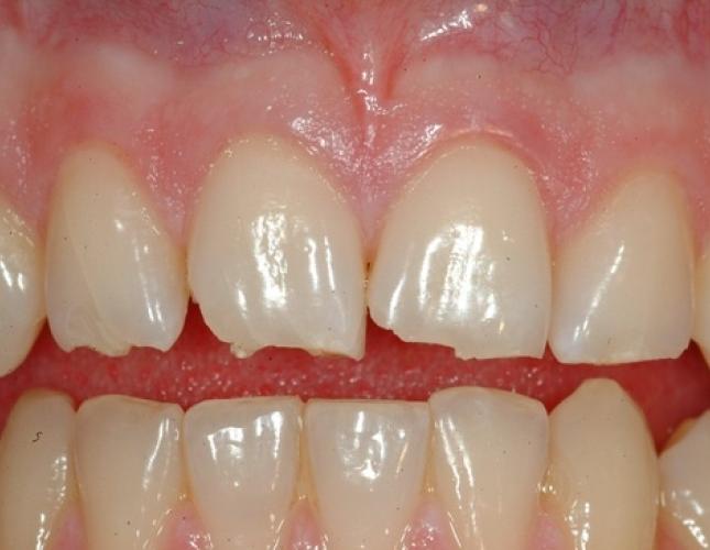
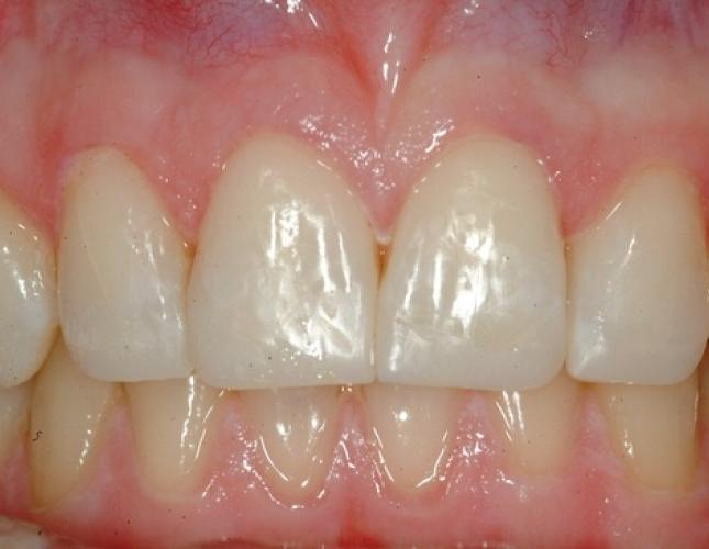
Composite Bonding
Anonymous