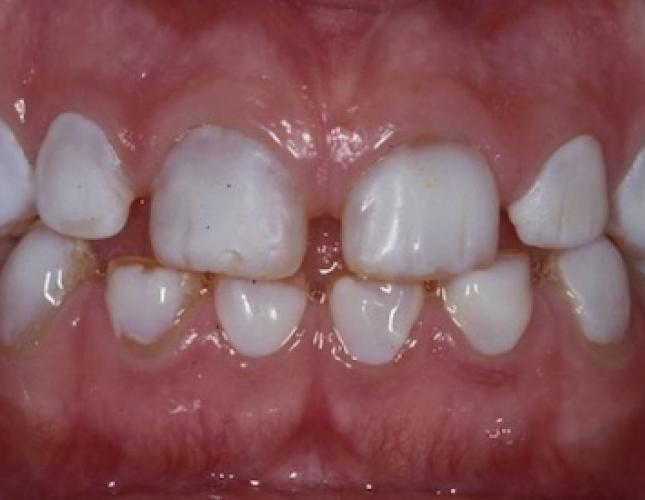
This patient had a genetic disorder that affected the enamel on all her teeth. After esthetic gum procedures, we restored her full mouth of teeth with porcelain crowns to give her the smile she always wanted.


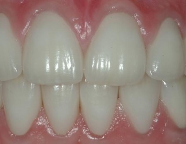
This patient had a genetic disorder that affected the enamel on all her teeth. After esthetic gum procedures, we restored her full mouth of teeth with porcelain crowns to give her the smile she always wanted.